English

Zirconium Crowns

Antalya Health Center Antalya

Get Medical Opinion

Fill out the form below, and well call you within 24 hours.

Request a Consultation

Would you like to get detailed information? Contact us!

You can reach our support line 24/7. Our team will get back to you as soon as possible.

Offering Services

Our clinics offer a comprehensive range of services to meet all your healthcare needs. You can consult our experienced team to get information about your treatments.

Zirconium Crowns Get a Free Quote

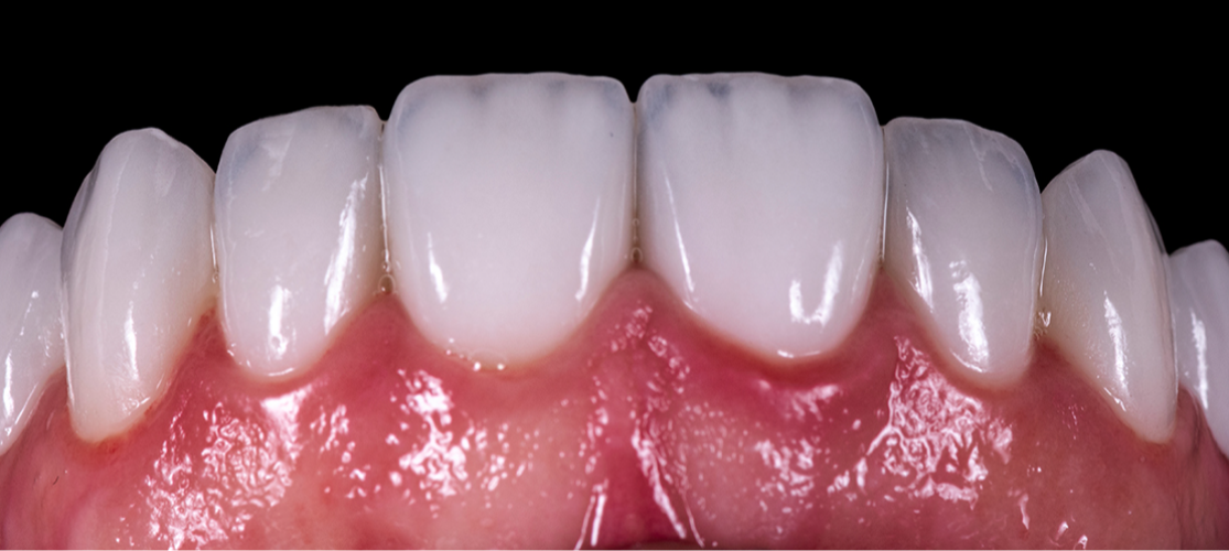
Zirconium Crowns will help you for a white, healthy and remarkable smile. More aesthetic and functional results can be achieved with the Zirconium Crown, which is achieved by reducing the size of the tooth all around and coating it with zirconium.

Zirconium prostheses attached to implants or existing teeth have a white appearance but do not cause metal greying.

Zirconium Crowns, which are baked at very high temperatures after being shaped specifically for the patient's tooth or teeth to be treated, have serious durability. Zirconium Crowns, which are essentially white in color, are coated with porcelain to give a more natural tooth appearance.

As with all applications that affect dental aesthetics, Zirconium Crown application should be planned individually for the patient. When shaping the crown, the shape and size of the tooth to be treated should be taken into consideration; At the same time, the person's face shape should also be evaluated to make their smile perfect. As Dental Clinic Turkey, we take into account all the variables that affect the quality of service we will provide to our patients during our zirconium crown coating applications and share our expertise in crown coating applications with our patients.

In order for Zirconium Crown coating to be applied, patients must first be examined. In this process, basic data for Zirconium Crown shaping is obtained. Approximately 2-3 examination sessions are performed for the initial examination and completion of the preparations. In order for the crown to be attached, the tooth on which the application will be applied is shaped, and when the shaping process is completed, the temporary crown is; At the next examination, a permanent Zirconium Crown is placed.

5 days
Transfer Services
Accommodation Options
Nurse / Assistant Support
1 Year Follow Up

Would you like to receive an offer?

Treatments are planned individually. You need to share information about your treatment with us so that we can provide you with correct planning. In particular, your photographs, x-rays, tests and previous health information are necessary for us to help you. After your information reaches us, your health consultant will contact you as soon as possible.

Frequently Asked Questions

What is a zirconium crown?

A zirconium crown is a type of dental crown made from zirconium dioxide, a strong and aesthetically pleasing material. These crowns are often used for both front and back teeth due to their strength and natural look.

Why choose zirconium crowns?

Zirconium crowns are known for their durability, resistance to chipping, and biocompatibility. They also provide a more natural appearance compared to metal-based crowns.

Why are zirconium crowns popular in Turkey?

Turkey is known for its advanced dental clinics, experienced dentists, and significantly lower costs compared to many Western countries. Dental tourism in Turkey also offers the opportunity to combine dental care with a holiday.

How much does a zirconium crown cost in Turkey?

The cost varies depending on the clinic and the complexity of the case, but generally, zirconium crowns in Turkey are more affordable than in many other countries. Prices can range from €150 to €400 per crown.

What is the process for getting zirconium crowns in Turkey

The process typically involves an initial consultation, preparation of the teeth, taking impressions, fitting temporary crowns, and finally placing the permanent zirconium crowns. This process may take a few days to a week.

How long do zirconium crowns last?

With proper care, zirconium crowns can last 10-15 years or longer. Regular dental check-ups and good oral hygiene are essential for longevity.

Do I need a visa to travel to Turkey for dental treatment?

Visa requirements depend on your nationality. Many countries have visa-free agreements with Turkey or offer e-visas. Check the Turkish government’s official website for the latest information.

Can I combine my dental treatment with a holiday?

Yes, many patients take advantage of dental tourism in Turkey to explore the country's rich history, culture, and beautiful landscapes. Plan your travel itinerary to allow enough time for both dental appointments and sightseeing.

Is Zirconium Crown Suitable for Teeth?

Yes, zirconium crowns are often a suitable option for patients who want to improve dental aesthetics or durability. It can be used for tooth decay, fractures, discoloration or other cosmetic problems.

What are the Advantages of Zirconium Crown?

The advantages of zirconium crown include natural tooth appearance, durability, long life, low risk of allergy, and a more aesthetic result than most metal-based crowns.

What Should Be Considered After the Zirconium Crown Process?

After zirconium crown treatment, coloured drinks (such as coffee, tea, red wine) and smoking should be avoided. Good oral hygiene should be maintained, regular tooth brushing and other care instructions recommended by the dentist should be followed.

Get a Free Quote