English

All on 4 Dental Implants

Antalya Health Center Antalya

Get Medical Opinion

Fill out the form below, and well call you within 24 hours.

Request a Consultation

Would you like to get detailed information? Contact us!

You can reach our support line 24/7. Our team will get back to you as soon as possible.

Offering Services

Our clinics offer a comprehensive range of services to meet all your healthcare needs. You can consult our experienced team to get information about your treatments.

All on 4 Dental Implants Get a Free Quote

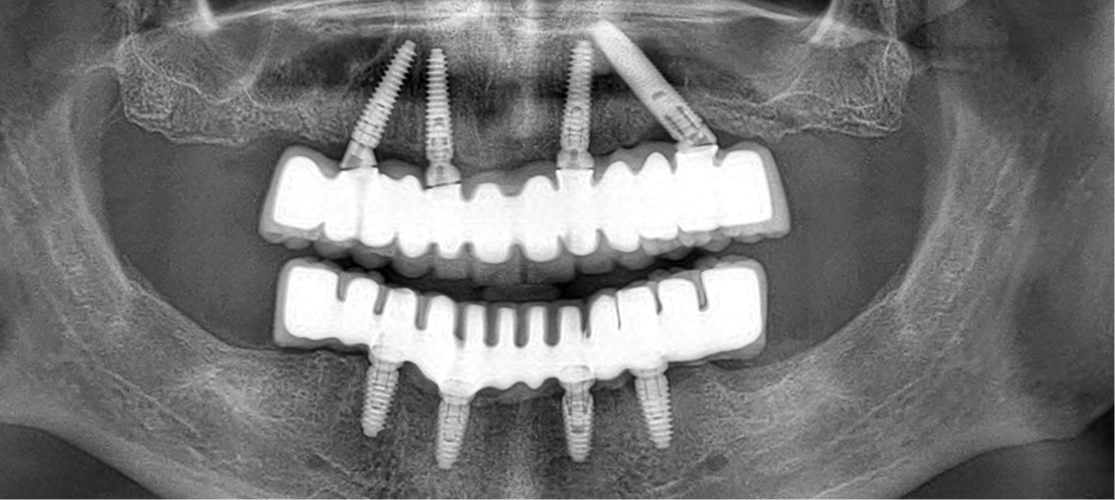
The All on 4 treatment is a dental implant procedure designed to provide a full arch of teeth using only four implants.  

What is All-on-4?

The All on 4 treatment concept was developed to provide edentulous (toothless) patients with an efficient and effective solution using fewer implants than traditional methods. This treatment can be used for patients who have lost most or all of their teeth in one or both arches (upper or lower jaw).

Procedure Steps

Consultation and Planning:

  • Examination: A thorough examination of the patient's mouth, including X-rays and 3D imaging (CT scans) to assess bone structure and determine the best placement for the implants.
  • Treatment Plan: A personalized treatment plan is developed based on the patient's needs, bone density, and overall health.

Implant Placement:

  • Anesthesia: The procedure is typically performed under local anesthesia, but sedation or general anesthesia may be used for patient comfort.
  • Implant Placement: Four titanium implants are strategically placed in the jaw. Two implants are positioned at the front of the jaw, and two are placed at an angle in the back to maximize bone use and provide stability.

Immediate Loading:

  • Temporary Prosthesis: A temporary set of teeth is attached to the implants on the same day of the surgery, allowing the patient to leave with a functional set of teeth.

Healing and Integration:

  • Osseointegration: Over the next few months, the implants will fuse with the jawbone in a process called osseointegration. This creates a stable foundation for the final prosthesis.
  • Follow-up Visits: Regular follow-up visits are necessary to monitor the healing process and ensure everything is progressing as expected.

Final Prosthesis:

  • Permanent Teeth: After the implants have fully integrated, a final, custom-made prosthesis is attached to the implants. This permanent set of teeth is designed to look and function like natural teeth.

Benefits

  • Reduced Number of Implants: Only four implants per arch are needed, reducing the complexity and cost of the procedure.
  • Immediate Results: Patients can receive a temporary set of teeth on the same day as the implant surgery.
  • Stability and Functionality: The angled placement of the back implants maximizes contact with the bone, providing excellent stability and support.
  • Improved Aesthetics: The final prosthesis is custom-made to match the patient's natural teeth, enhancing appearance and confidence.

Considerations

  • Bone Density: Sufficient bone density is required for implant placement. In some cases, bone grafting may be necessary.
  • Health Conditions: Patients with certain medical conditions may need additional evaluations to ensure they are suitable candidates for the procedure.
  • Cost: While the All-on-4 treatment can be more cost-effective than traditional implants, it is still a significant investment. Insurance coverage and financing options should be discussed with the dental provider.

Aftercare

  • Oral Hygiene: Good oral hygiene is essential to maintain the health of the implants and surrounding tissues.
  • Regular Check-ups: Regular dental visits are necessary to monitor the implants and prosthesis, ensuring long-term success.

The All-on-4 treatment is a revolutionary solution for those seeking a reliable and aesthetically pleasing replacement for missing teeth. It offers the benefits of a full set of teeth with a minimally invasive approach, providing patients with improved quality of life and confidence.

2 Visit
Transfer Services
Accommodation Options
Nurse / Assistant Support
1 Year Follow Up

Would you like to receive an offer?

Treatments are planned individually. You need to share information about your treatment with us so that we can provide you with correct planning. In particular, your photographs, x-rays, tests and previous health information are necessary for us to help you. After your information reaches us, your health consultant will contact you as soon as possible.

Frequently Asked Questions

What is the All-on-4 dental implant procedure?

The All-on-4 procedure involves placing four dental implants in each jaw to support a full arch of prosthetic teeth. Two implants are placed vertically in the front and two are placed at an angle in the back to maximize contact with the bone.

How long does the All-on-4 procedure take?

The initial surgery to place the implants and attach a temporary prosthesis can usually be completed in one day. The entire process, including the healing period and placement of the final prosthesis, can take several months.

Is the All-on-4 procedure painful?

The surgery is performed under anesthesia, so patients typically do not feel pain during the procedure. Some discomfort and swelling can be expected after the surgery, which can be managed with pain medication prescribed by the dentist.

What is the success rate of All-on-4 implants?

All-on-4 implants have a high success rate, often cited as 96% or higher. Success depends on various factors, including the patient's health, bone quality, and adherence to post-operative care instructions.

Can All-on-4 be used for both upper and lower arches?

Yes, All-on-4 can be used to replace teeth in both the upper and lower arches.

How long do All-on-4 implants last?

Implants can usually last a lifetime with proper care and regular check-ups. Prosthetic teeth may vary slightly in terms of duration of use. With good care and regular check-ups, dentures can last 15 to 20 years or more. Therefore, regular dental care and periodic check-ups are important for the healthy use of dental prostheses and implants for a long time. As the Dental Clinic Turkey team, we are always ready to provide service for your periodic check-ups and dental care.

What if I don't have enough bone for implants?

Patients with insufficient bone may require additional procedures, such as bone grafting, to build up the bone before implant placement. The All-on-4 technique's angled placement of the back implants often allows for use of existing bone, minimizing the need for grafting.

How much does the All-on-4 treatment cost?

The cost of All-on-4 can vary widely based on location, the dentist's experience, and individual patient needs. It generally ranges from €3000 to €5000 per arch.

Will I be able to eat normally with All-on-4 implants?

Yes, after the initial healing period, patients can eat a wide variety of foods. The implants provide stability similar to natural teeth, allowing for normal chewing and biting functions.

Can I get All-on-4 implants if I have existing dental work or failing implants?

Yes, All-on-4 can often be used to replace existing dental work or failing implants. Your dentist will evaluate your specific situation to determine the best treatment plan.

What are the risks associated with All-on-4 implants?

As with any surgical procedure, there are risks, including infection, implant failure, nerve damage, and complications from anesthesia. However, these risks are relatively low, and the procedure is generally considered safe.

Can the All-on-4 procedure be done for people with gum disease?

Patients with active gum disease need to have it treated before undergoing the All-on-4 procedure. Healthy gums are essential for the success of the implants.

How Long Does All On Four Implant Placement Take?

Depending on the number of implants and the area to be placed, the procedure takes approximately 30 to 60 minutes.

Get a Free Quote