Deutsch

All on 4 Zahnimplantate

Antalya Health Center Antalya

Ärztliche Beratung einholen

Bitte füllen Sie das folgende Formular aus, und wir werden Sie innerhalb von 24 Stunden anrufen.

Bitte um eine Konsultation

Möchten Sie detaillierte Informationen erhalten? Kontaktieren Sie uns!

Unser Team ist rund um die Uhr 7/24 erreichbar. Unser Team wird sich so schnell wie möglich bei Ihnen melden
Beliebte Behandlungen

Dienstleistungen anbieten

Unsere Kliniken bieten ein umfassendes Dienstleistungsspektrum an, um alle gesundheitsbezogenen Bedürfnisse unserer Patienten zu erfüllen. Sie können sich mit unserem erfahrenen Team in Verbindung setzen, um Informationen zu Ihren Behandlungen zu erhalten

All on 4 Zahnimplantate Kostenloses Angebot

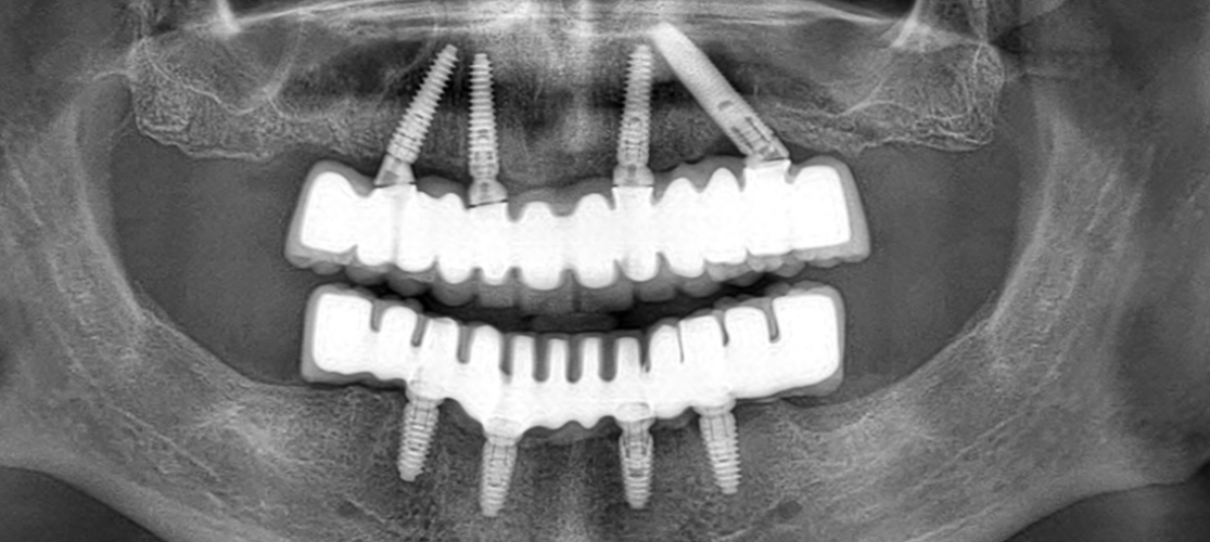
Die All on 4 Implantattechnik ist ein modernes und technologisches Verfahren, bei dem bei vollständig zahnlosen Patienten innerhalb eines Tages ein fester Zahnersatz auf vier eingesetzten Zahnimplantaten befestigt wird.

Im Unterschied zu den Standardimplantationstechniken eliminiert die All-on-4 Technik die klassische 3-6 monatige Heilungszeit, in der der Patient ohne Zahnersatz bleibt, indem die Implantate in unterschiedlichen Winkeln platziert und eine entsprechende Überbauung gewählt wird.

Nach der klinischen und radiologischen Untersuchung des Patienten wird die All-on-4 Implantattechnik mit Hilfe von Computertomographie geplant und sicher angewendet. Das All-on-4 Implantatsystem ist eine ideale Methode für Patienten mit Knochenschwund in den hinteren Zahnregionen, um feste Zähne zu verwenden.

Am Tag der Implantation oder am folgenden Tag wird dem Patienten ein fester provisorischer Zahnersatz eingesetzt, und die Implantate heilen mit diesen provisorischen Zähnen. Nach der Heilung werden die dauerhaften ästhetischen Zähne des Patienten eingesetzt.

7 days
Transferservice
Unterkunftsmöglichkeiten
Krankenpflege Unterstützung
1 Jahr Nachverfolgung

Möchten Sie ein Angebot erhalten ?

Behandlungen werden individuell geplant. Damit wir eine präzise Planung für Sie gewährleisten können, müssen Sie uns Informationen zu Ihrer Behandlung mitteilen. Besonders wichtig sind Ihre Fotos, Röntgenaufnahmen, Tests und frühere Gesundheitsdaten, um Ihnen optimal helfen zu können. Nachdem Ihre Informationen bei uns eingegangen sind, wird sich Ihr Gesundheitsberater so schnell wie möglich mit Ihnen in Verbindung setzen.

Häufig gestellte Fragen

Was ist das All on 4 Zahnimplantat-Verfahren?

Das All on 4 Verfahren umfasst die Platzierung von vier Zahnimplantaten in jedem Kiefer, um eine vollständige Zahnprothese zu stützen. Um den Kontakt mit dem Knochen zu maximieren, werden zwei Implantate vertikal im vorderen Bereich und zwei Implantate in einem Winkel im hinteren Bereich eingesetzt.

Wie lange dauert das All on 4 Verfahren?

Die erste Operation, bei der die Implantate gesetzt und die provisorische Prothese angebracht wird, kann in der Regel innerhalb eines Tages abgeschlossen werden. Der gesamte Prozess, einschließlich der Heilungszeit und der endgültigen Prothese, kann jedoch mehrere Monate in Anspruch nehmen.

Ist das All on 4 Verfahren schmerzhaft?

Da die Operation unter Anästhesie durchgeführt wird, verspüren die Patienten normalerweise keine Schmerzen während des Eingriffs. Nach der Operation kann es zu einer gewissen Unannehmlichkeit und Schwellung kommen, die jedoch mit den vom Zahnarzt verordneten Schmerzmitteln behandelt werden kann.

Wie hoch ist die Erfolgsquote von All on 4 Implantaten?

All on 4 Implantate haben in der Regel eine hohe Erfolgsquote, die häufig mit 96% oder mehr angegeben wird. Der Erfolg hängt von verschiedenen Faktoren ab, einschließlich der Gesundheit des Patienten, der Knochenqualität und der Einhaltung der postoperativen Pflegeanweisungen.

Kann All on 4 sowohl für den Ober- als auch den Unterkiefer verwendet werden?

Ja, All on 4 kann sowohl für die Zähne im Oberkiefer als auch im Unterkiefer verwendet werden.

Wie lange halten All on 4 Implantate?

Implantate können in der Regel ein Leben lang bei entsprechender Pflege und regelmäßigen Kontrollen verwendet werden. Die Lebensdauer der Prothesenzähne kann etwas variieren. Bei guter Pflege und regelmäßigen Kontrollen kann die Lebensdauer der Prothesen 15 bis 20 Jahre oder länger betragen. Daher ist regelmäßige Zahnpflege und periodische Kontrollen wichtig für eine lange und gesunde Nutzung der Zahnprothesen und Implantate. Das Dental Clinic Turkey Team steht Ihnen stets für Ihre regelmäßigen Kontrollen und Zahnpflege zur Verfügung.

Was passiert, wenn ich nicht genügend Knochen für Implantate habe?

Patienten mit unzureichendem Knochen benötigen möglicherweise zusätzliche Verfahren wie Knochenaufbau (Knochenblockaden), um den Knochen vor der Implantation zu verstärken. Bei der All on 4 Technik wird die Platzierung der hinteren Implantate in einem Winkel oft den vorhandenen Knochen optimal nutzen und den Bedarf an Knochenaufbau minimieren.

Wie viel kostet die All on 4 Behandlung?

Die Kosten für All on 4 können je nach Standort, Erfahrung des Zahnarztes und individuellen Patientenbedürfnissen erheblich variieren. In der Regel liegen die Kosten pro Kiefer zwischen 3000 € und 5000 €.

Kann ich mit All on 4 Implantaten normal essen?

Ja, nach der anfänglichen Heilungsphase können Patienten eine Vielzahl von Lebensmitteln essen. Die Implantate bieten eine Stabilität, die natürlichen Zähnen ähnlich ist und ermöglichen normales Kauen und Beißen.

Kann ich All on 4 Implantate erhalten, wenn ich bestehende Zahnbehandlungen oder fehlgeschlagene Implantate habe?

Ja, All on 4 kann in der Regel als Ersatz für bestehende Zahnbehandlungen oder fehlgeschlagene Implantate verwendet werden. Ihr Zahnarzt wird Ihre spezielle Situation bewerten, um den besten Behandlungsplan zu bestimmen.

Welche Risiken sind mit All on 4 Implantaten verbunden?

Wie bei jedem chirurgischen Eingriff bestehen Risiken wie Infektionen, Implantat versagen, Nervenschäden und Komplikationen durch Anästhesie. Diese Risiken sind jedoch relativ gering, und das Verfahren wird in der Regel als sicher angesehen.

Kann All on 4 bei Patienten mit Zahnfleischerkrankungen durchgeführt werden?

Patienten mit aktiven Zahnfleischerkrankungen müssen vor der Durchführung des All on 4 Verfahrens behandelt werden. Gesunde Zahnfleischstrukturen sind entscheidend für den Erfolg der Implantate.

Wie lange dauert die Platzierung von All on 4 Implantaten?

Je nach Anzahl der Implantate und dem zu behandelnden Bereich dauert der Eingriff etwa 60 bis 90 Minuten.

Kostenloses Angebot